By Applying Advanced Surgical Methods




The traumatic and orthopaedic surgery department of Pyongyang University of Medical Sciences is actively exploring and applying advanced surgical methods.
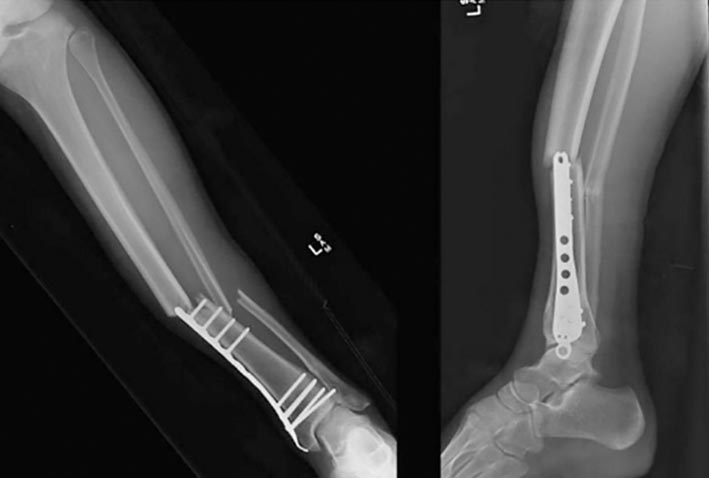
An example is a minimally invasive osteosynthesis (MIPO) by means of a metal plate for iliac fracture newly developed by Ri Thae Hyok, department chief, and Pak Kwang Hyok, Rim Chol Sam and Mun Chang Song, surgeons.
Through years of clinical practice, this procedure has proved effective in minimizing the adverse effects on patients’ health, including less invasion, lower rates of complications such as postoperative infections, and less use of antibiotics. In addition, it minimizes cosmetic injury by surgery.
By applying this surgical method, the medical workers of the department treated a large number of patients including Ryang In Suk, a 73-year-old woman living in Neighbourhood Unit No. 68, Ponghak-dong, Phyongchon District, Pyongyang.
Meanwhile, surgeons Kim Hyon Mu and Mun Song Chol also completed vacuum wound closure therapy (VAC) for significant loss of soft tissues, thus laying a solid foundation for further improving the quality of medical services. As this method remarkably shortens treatment period and produces excellent effect, it is widely used in clinical practice.
In addition, medical workers of the department, including Ko Mun Sik and Han Chol Hun, developed highly-effective medical appliances and various advanced surgical methods including LCP-based osteotomy and percutaneous calcaneal tendon closure (PARS) in calcaneal tendon tears.